
丹東百特儀器有限公司

已認證
丹東百特儀器有限公司
已認證
托拉塞米為難溶性藥物,原料藥顆粒的大小不僅影響藥品制備過程中的可加工性,更主要的是影響藥物顆粒的溶解性,影響其生物等效性,因此對托拉塞米顆粒粒度進行檢測是非常重要的。本文使用Bettersize2600激光粒度分析儀測試兩款托拉塞米顆粒的粒度,考察兩款托拉塞米的差異。
濕法或干法對粒度結果的影響
濕法是把托拉塞米分散在水或有機溶劑中,通過攪拌、超聲以及添加分散劑的方式使粉體顆粒達到良好的分散。
圖1. 1#托拉塞米樣品隨分散時間變化曲線(上)
2#托拉塞米樣品隨分散時間變化曲線(下)
由上圖來看,1#托拉塞米樣品,隨著分散時間的增加顆粒粒度逐漸變小,當超聲時間達到90s以后基本達到穩定狀態。而2#托拉塞米樣品,隨著分散的進行D10、D50和D90反而增大。
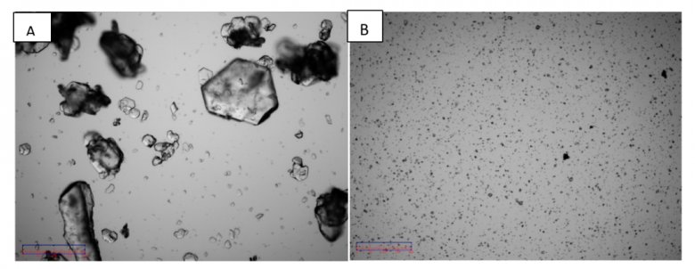
圖2. 1#托拉塞米樣品(A)與2#托拉塞米樣品(B)的顯微圖像
這主要是由于兩款托拉塞米微粉的粒徑差異較大。1#托拉塞米顆粒較大,2#托拉塞米顆粒較小,小顆粒比表面積大,溶解較快,導致粒徑逐漸變大。從樣品的遮光率變化來看(圖3所示),1#托拉塞米遮光率穩定不變,2#托拉塞米遮光率逐漸降低,也進一步證實了2#托拉塞米有溶解現象。
圖3. 1#與2#托拉塞米遮光率隨時間變化曲線
從濕法測試結果來看,1#托拉塞米分散90s后結果基本穩定,而2#托拉塞米由于有溶解現象,導致顆粒粒徑逐漸變大,因此對于粒徑較小的托拉塞米原料藥不建議采用濕法測試。
干法測試是把托拉塞米干粉直接放到干法進樣器中,通過壓縮空氣將樣品“吹過”測試區,從而實現粒度測試。干法測試時,氣壓將影響結果,我們先用壓力滴定的方式,看看能不能找到結果穩定的壓力。
圖4. 1#托拉塞米壓力滴定曲線(上)
2#托拉塞米壓力滴定曲線(下)
從上面兩個壓力滴定曲線來看,1#托拉塞米隨著分散壓力增大顆粒粒度逐漸降低,無穩定的平臺,這是因為1#托拉塞米的顆粒為片狀。空氣壓力不斷將顆粒打碎,導致無穩定的分散平臺,這種現象在ISO13320中也給出提示,因此對1#托拉塞米分散壓力選擇要慎重。2#托拉塞米當分散壓力在0.2~0.4MPa之間,粒度結果都處于相對穩定的狀態,說明顆粒達到相對穩定的分散狀態,未被進一步破碎,因此2#托拉塞米樣品適合用干法激光粒度儀測試粒度。
濕法和干法測試的粒度結果
由于兩款托拉塞米樣品差異較大,建議選擇丹東百特干濕法兩用激光粒度儀Bettersize 2600激光粒度分析儀,用配備的濕法進樣器測試顆粒較大的1#托拉塞米,用干法進樣器測試顆粒較小的2#托拉塞米,這樣對于兩款原料藥都可以得到較為準確,且具有良好重復性和準確性的粒度結果。
圖5. 1#托拉塞米樣品粒度分布圖(上)
2#托拉塞米樣品粒度分布圖(下)
結論
1. 1#托拉塞米顆粒為片狀,易碎,因此建議采用濕法激光粒度儀進行粒度測試,避免干法對顆粒造成破碎,從而影響粒度測試結果的準確性。
2.2#托拉塞米樣品顆粒較小,比表面積大,在水中有溶解現象,因此建議采用干法激光粒度儀進行粒度測試,避免因小顆粒快速溶解而影響粒度測試結果的準確性。
3. 選用既有干法進樣器、又有濕法進樣器的干濕法兩用激光粒度儀Bettersize2600,能準確測試兩款物性差異較大的托拉塞米樣品的粒度。
相關產品
更多
相關文章
更多
技術文章
2025-10-21技術文章
2025-10-16技術文章
2025-10-10技術文章
2025-09-29虛擬號將在 秒后失效
使用微信掃碼撥號