
國儀量子技術(合肥)股份有限公司
白金會員
已認證

國儀量子技術(合肥)股份有限公司
白金會員
已認證
在自然界的奇妙世界中,蜥蜴以其多變的體色而聞名。這些色彩不僅令人著迷,更是蜥蜴生存和繁衍的關鍵。但這些絢麗色彩背后的科學原理是什么呢?本文將結合國儀量子場發射掃描電鏡產品,帶大家一起了解蜥蜴變色產生的機理。
*本文中所使用的蜥蜴皮膚細胞由中國科學院昆明動物研究所車靜研究員課題組提供。
1
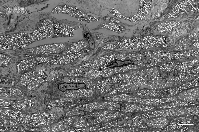
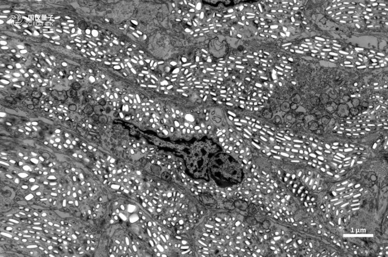
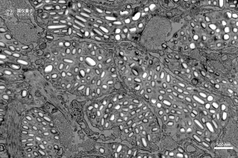
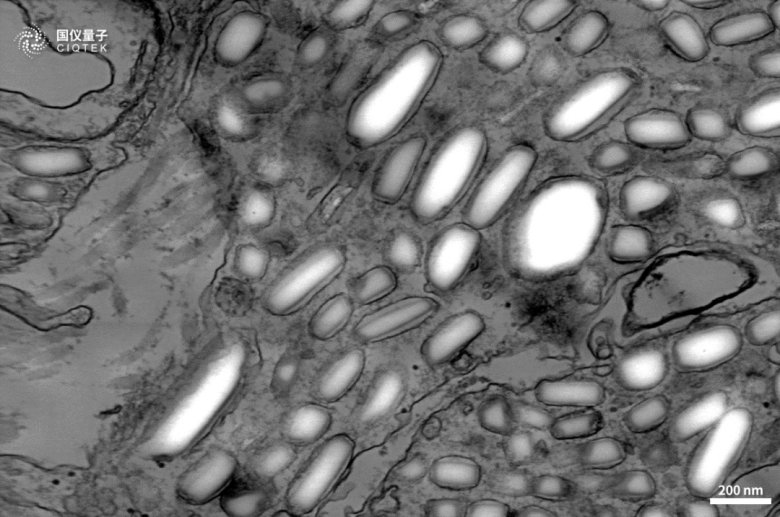
掃描電鏡下的蜥蜴皮膚
自然界中的動物體色,可以按形成機制分為兩類:色素色和結構色。
色素色的產生是通過色素成分的含量變化以及顏色的疊加實現的,類似于“三原色”的原理;而結構色是通過細密的生理結構反射光線產生不同波長的反射光而形成的顏色,其基礎主要是光學原理。下面幾張圖(圖1-4)就是使用國儀量子場發射掃描電鏡SEM5000-STEM附件對蜥蜴皮膚細胞中的虹彩細胞進行表征的結果,虹彩細胞具有類似衍射光柵一樣的結構,我們暫且稱它為晶體片,晶體片能夠反射、散射不同波長光。
研究發現通過蜥蜴虹彩細胞中晶體片的大小、間距、角度等變化,可以改變它們的皮膚散射和反射的光波長,這一點對研究蜥蜴皮膚變色產生的機制具有重要的意義。
掃描電鏡下對蜥蜴皮膚細胞進行表征,可以直觀地看到蜥蜴不同顏色下的皮膚晶體片結構特點:包括大小、長度、排列方式,使得微觀表征與宏觀表現生動的關聯到了一起。

圖1 蜥蜴皮膚的超微結構/30 kV/STEM

圖2 蜥蜴皮膚的超微結構/30 kV/STEM

圖3 蜥蜴皮膚的超微結構/30 kV/STEM

圖4 蜥蜴皮膚的超微結構/30 kV/STEM
結合國儀自主研發的 “Automap”大圖拼接軟件,可以對蜥蜴皮膚細胞進行大面積的宏觀結構表征,最大可至厘米級。因此不論是高倍細節還是宏觀區域的表征,國儀電鏡皆可滿足。


“Automap”操作界面
國儀量子場發射掃描電鏡,具有高分辨成像的優勢,且支持選配新型的掃描透射電子(STEM)探測器,可以結合掃描電鏡和透射電鏡的功能特點,在 30kV 及以下的加速電壓下,獲得由透射電子形成的高分辨率圖像。對于觀測電子束敏感的生物樣品,有著獨特優勢。
2
國儀量子場發射掃描電鏡
掃描電鏡以其分辨率高,放大倍數范圍廣等優點,已經成為了科學研究過程中必要的表征工具。
掃描電鏡的成像除了能得到樣品表面的信息,搭配掃描透射探測器附件,應用透射模式(Scanning transmission electron microscopy,STEM),即可得到物質的內部結構信息。此外掃描電鏡上的STEM模式與傳統透射電鏡相比,由于其加速電壓更低,所以可顯著減少電子束對樣品的損傷,并且可大大提高圖像的襯度,特別適合于高分子、生物等軟材料樣品的結構分析。
國儀量子系列掃描電鏡皆可選配此掃透模式,其中SEM5000作為國儀場發射熱門機型,它采用了先進的鏡筒設計,包括高壓隧道技術(SuperTunnel)、低像差無漏磁物鏡設計,擁有多種成像模式:INLENS、ETD、BSED、STEM等,且STEM模式分辨率可達0.8nm@30kv。

3
參考文獻
[1]崔慧海,陳旭,梁愛萍.綠安樂蜥微皮紋和皮膚感受器形態學與組織學研究[J].四川動物, 2023, 42(6):641-649.[2]Camouflage versus running performance as strategies against predation in a lizard inhabiting different habitats[J]. Wan Lixia;Liu Zhenxia;Wang Tao;Yang Minglu;Li Jiasheng;Sun Hui;Niu Chenkai;Zhao Wei;Jin Yuanting.Ecology and Evolution,2021
[3]Real-Time Integration Center of Mass (riCOM) Reconstruction for 4D STEM. Chu-Ping Yu, Thomas Friedrich, Daen Jannis, Sandra Van Aert, Johan Verbeeck. Microscopy and Microanalysis ,2022, 28, 1526–1537.
相關產品
更多
相關文章
更多
技術文章
2025-10-09技術文章
2025-10-09技術文章
2025-09-30技術文章
2025-09-29
虛擬號將在 秒后失效
使用微信掃碼撥號